|
|
|
|
|
|
NARFE February
Thank you for being such a dedicated partner in the fight against Alzheimer's. Following an incredible $1 million pledge from NARFE, the Alzheimer's Association was able to match those funds, raising an outstanding total of $6.5 million! We are so thankful for our partnership and the work we do together to get us closer to our shared vision of a world without Alzheimer's and all dementia.
|
|
|
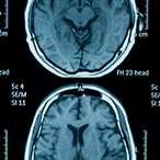
Brain scans could point to new direction in Alzheimer's research
Researchers say that a new brain scanning tool that identifies tau protein tangles may be able to predict which brain regions will be most damaged by Alzheimer's disease. By tracking areas of the brain with abnormal tau buildup, the scans may predict whether Alzheimer's is more likely to impact an individual's memory or language skills, and may also support the accelerated development of new drugs. Learn more.
|
|
|
|
|
Alzheimer's caregivers may be eligible for tax savings
As a caregiver for someone living with Alzheimer's, you likely pay for some care costs out of pocket. Because of this, you may qualify for tax benefits. But the rules are complex, so be sure to talk to your financial adviser or accountant before filing your return. Learn more.
|
|
|
|
|
Caring for someone living with Alzheimer's means making adjustments
Serving as a full-time caregiver for a person living with Alzheimer's or another dementia requires adjustments. Whether you provide daily caregiving, participate in decision-making or simply care about a person living with the disease, we have resources that can help. Learn more.
|
|
|
|
|
Approaching memory loss in yourself or others is important
It can be difficult to know what to do if you've noticed changes in memory, thinking or behavior in yourself or a family member or friend. It's natural to feel uncertain about voicing your worries, but these are significant health concerns, and it's important to take action. Learn more.
|
|
|
|
|
View Past Issues

|
|
|
|
|
NARFE 2020 Goal $14 Million

|
|
|
|
24/7 Helpline: 1-800-272-3900
|
|