|
|
|
|
|
|
|
The Alzheimer's Association's International Conference® 2017 (AAIC®), the largest international meeting dedicated to advancing dementia science — took place July 16-20 in London. As the world's leading forum on dementia research, AAIC serves as a catalyst for generating new knowledge about dementia and fostering a vital, collegial research community. To see international media coverage of research presented, please visit our breaking news page. During AAIC, there was a major announcement from Capitol Hill about another increase for Alzheimer's research funding at the National Institutes of Health (NIH) for fiscal year 2018 budget. The Association is pleased to present this July report, prepared exclusively for NARFE members, on the latest news in our fight against Alzheimer's. Your continued support makes a difference.
|
|
|
House Appropriations Committee approves major $400 million increase for Alzheimer's disease research funding at NIH
The House Appropriations Committee approved an additional $400 million increase for Alzheimer's and dementia research for the fiscal year 2018 budget. This bipartisan proposal was led by House Appropriations Labor, Health and Human Services, Education and Related Agencies Subcommittee Chairman Tom Cole (R-Okla.). House Appropriations Committee Chairman Rodney Frelinghusyen (RN.J.) and Ranking Member Nita Lowey (D-N.Y.), as well as Labor-HHS Subcommittee Ranking Member Rosa DeLauro (D-Conn.), played a critical role. Learn more.
|
|
|
|
|
Walk with us in the fight against Alzheimer's
Again this year, NARFE is forming a National Walk Team for the Alzheimer's Association Walk to End Alzheimer's®, the world's largest event to raise awareness and funds for Alzheimer's care, support and research. Held in more than 600 communities nationwide, this inspiring event calls on participants of all ages and abilities to join the fight against the disease. Help us reach our national goal of $100,000 while connecting with NARFE members in your community. Visit alz.org/narfewalks to register for a NARFE team in your area today.
|
|
|
|
|
Regional shortage of neurologists revealed across the U.S.
According to new data reported at AAIC 2017, multiple regions of the United States have been revealed as neurology "deserts" due to a projected chronic shortage of neurologists and a rapid rise in Alzheimer's disease and other dementia cases. Twenty states were identified as dementia neurology "deserts" with a current dementia population of 1,638,800, which is projected to reach 2,068,000 by 2025. Wyoming, North Dakota, South Carolina, South Dakota and Oklahoma were revealed as the five states with the most significant projected gap between the available neurology workforce and the health needs of people with Alzheimer's and other dementias in 2025. Learn more.
|
|
|
|
|
Can treating sleep problems lower dementia risk?
Several new research analyses reported at AAIC 2017 found significant associations between sleep disordered breathing (SDB) and the accumulation of biomarkers for Alzheimer's disease. These findings highlight the idea that SDB is a modifiable factor that may help lower the risk of dementia and possibly slow the progression of dementia where it already exists. Learn more.
|
|
|
|
|
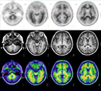
Clinical trials show brain PET imaging improves dementia diagnosis
Research reported at AAIC 2017 highlighted the clinical value of amyloid-β PET scans, which detect the presence of amyloid-beta plaques in the brain — one of the hallmarks of Alzheimer's disease. Studies also revealed an underutilization of amyloid-β PET imaging in clinical care, contributing to misdiagnosis of dementia. Learn more.
|
|
|
|
|
View Past Issues

|
|
|
|
|
NARFE Contributions to Advance Alzheimer's Research NARFE 2018 GOAL $13 MILLION

|
|
|
|
24/7 Helpline: 1-800-272-3900
|
|